
Sinus lifting, implanturi și adiții osoase
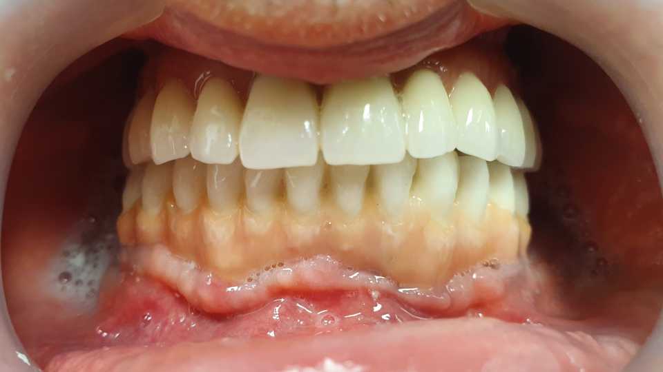
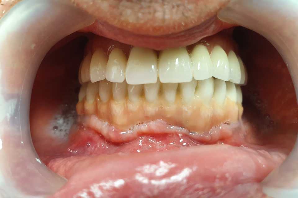
Cazul 43: All on X
Pacientul a revenit in cabinet pentru consultatia anuala de intretinere, implanturile fiind inserate in urma cu 5 ani.
Cazul a fost unul foarte dificil pacientul fiind purtator vechi de proteze totale acrilice bimaxilar. A fost nevoie de 2 sinus lifting-uri si 5 implanturi pentru arcada superioara, iar pentru arcada inferioara s-au realizat aditii osoase (bilateral), prin tehnica Khoury.
Rezultatele au fost spectaculoase, fara sa fi intervenit resorbtii de natura osasa sau gingivala, pacientul fiind foarte multumit.
Ai ajuns în punctul în care îți este greu să mănânci, zâmbești rar sau îți este rușine să vorbești în public din cauza dinților lipsă sau mobili?
Servicii stomatologice de implantologie
Servicii stomatologie de implantologie, implanturi și extracții dentare, rezecții aplicate.
Programare consultație
Dorești sfaturi, informații suplimentare și detalii despre all on x? Solicită o consultație gratuită.

















