
Reabilitare implaturi Anyridge si lucrari dentare ceramica pe zirconiu
Cazul 65: All on X
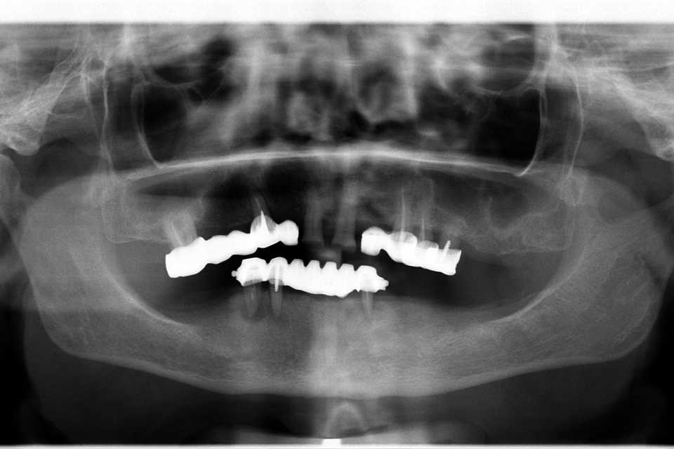
Pacienta, în vârstă de 65 de ani, se prezintă în cabinet acuzând dureri în timpul masticației, mobilitate dentară, halitoză și un aspect inestetic.
Planul de tratament a inclus extracția dinților parodontotici la nivelul mandibulei și inserarea a 5 implanturi dentare Mega-Gen AnyRidge cu conexiune multiunit, urmată de protezarea acestora cu o lucrare fixă, înșurubabilă, din ceramică pe suport de zirconiu.
La nivelul maxilarului, s-au efectuat extracțiile dinților parodontotici, tratamentul laser și chirurgical al leziunilor parodontale, urmate de reabilitarea protetică prin realizarea a două lucrări fixe din ceramică pe suport de zirconiu.
Ai ajuns în punctul în care îți este greu să mănânci, zâmbești rar sau îți este rușine să vorbești în public din cauza dinților lipsă sau mobili?
Servicii stomatologice de implantologie
Servicii stomatologie de implantologie, implanturi și extracții dentare, rezecții aplicate.
Programare consultație
Dorești sfaturi, informații suplimentare și detalii despre all on x? Solicită o consultație gratuită.




















