
Protezare fixă cu ajutorul implanturilor dentare
Cazul 42: All on X
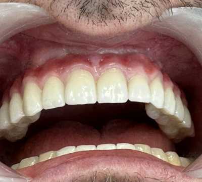
Pacient in varsta de 67 de ani, cunoscut cu boala parodontala severa cu mobilitate avansata a tuturor dintilor, care se prezinta in cadrul clinicii noastre atat din motive functionale, cat si estetice.
Acesta a optat pentru extractia dintilor afectati si protezarea fixa cu ajutorul implanturilor dentare, pacientul dorind respectarea formei si a culorii danturii proprii. Avand in vedere pierderea osoasa importanta, cauzata de patologia pacientului, acesta a necesitat in vederea reabilitarii, atat de sinus lift extern, cat si de aditie osoasa cu os artificial si membrana de colagen.
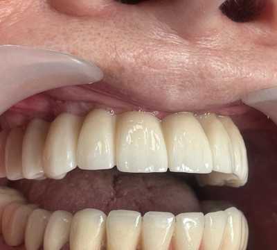
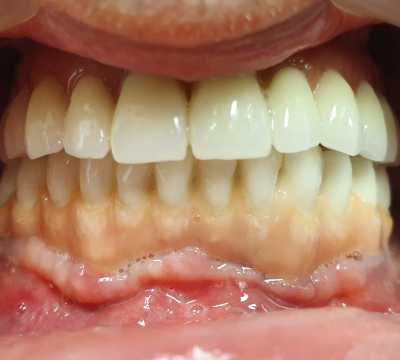
S-au inserat 10 implanturi dentare la nivel maxilar si 7 la nivel mandibular, pe baza carora s-au realizat protezari fixe metalo-cermice mandibular si ceramica pe zirconiu la nivel maxilar.
N.B. Cel de-al 7-lea implant mandibular a fost inserat la o luna distanta de la interventia initiala- defectul osos local fiind prea avansat pentru inserarea implantului in acelasi timp operator.
Ai ajuns în punctul în care îți este greu să mănânci, zâmbești rar sau îți este rușine să vorbești în public din cauza dinților lipsă sau mobili?
Servicii stomatologice de implantologie
Servicii stomatologie de implantologie, implanturi și extracții dentare, rezecții aplicate.
Programare consultație
Dorești sfaturi, informații suplimentare și detalii despre all on x? Solicită o consultație gratuită.

















