
Lucrări protetice fixe pe implanturi Paltop
Cazul 55: All on X
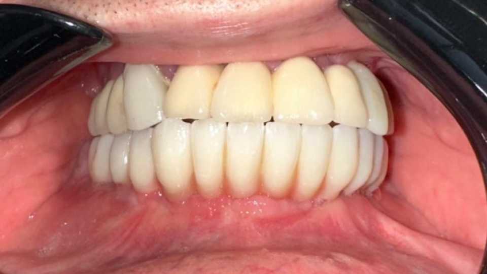
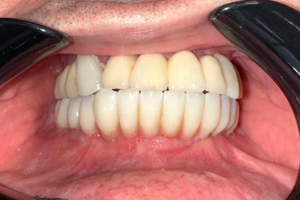
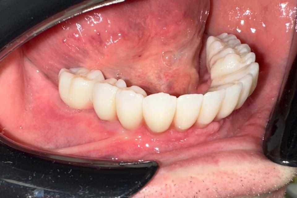
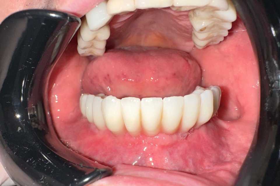
Pacientul, în vârstă de 63 de ani, ce prezintă boala parodontală avansată la nivel mandibular - dinti mobili, masticație dureroasă, halitoza, aspect estetic nesatisfăcător, s-a adresat clinicii noastre pentru realizarea unei lucrări protetice fixe pe implanturi.
În urma stabilirea planului de tratament împreună cu pacientul, am decis extracția dinților, chiuretajul pungilor parodontale și al chisturilor, inserția a 5 implanturi dentare Paltop și protezarea imediată cu o lucrare acrilică provizorie.
La 3 luni de la intervenție, după integrarea completă a implanturilor și remodelarea gingivală, am înlocuit lucrarea provizorie cu una din ceramica pe zirconiu înșurubabilă (fixă).
Ai ajuns în punctul în care îți este greu să mănânci, zâmbești rar sau îți este rușine să vorbești în public din cauza dinților lipsă sau mobili?
Servicii stomatologice de implantologie
Servicii stomatologie de implantologie, implanturi și extracții dentare, rezecții aplicate.
Programare consultație
Dorești sfaturi, informații suplimentare și detalii despre all on x? Solicită o consultație gratuită.


















