
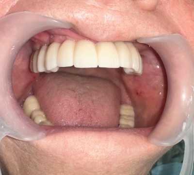
Lucrări fixe cimentate la nivelul maxilarului din ceramica pe zirconiu
Cazul 57: All on X
Pacient în vârstă de 41 de ani, purtător de proteze dentare mobile de aproximativ 5 ani, cu resorbții osoase severe la nivelul maxilarului și al mandibulei, s-a prezentat în cadrul clinicii noastre cu dorința reabilitării orale fixe cu ajutorul implanturilor dentare.
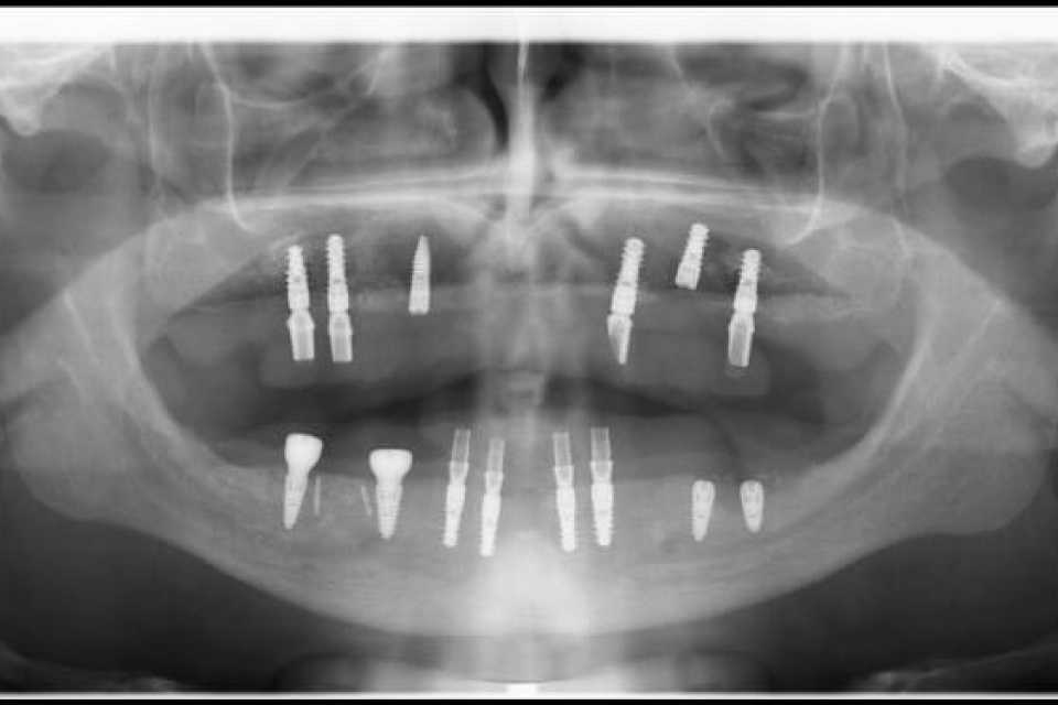
Pe parcursul unui an s-au efectuat adiții osoase la nivelul maxilarului (sinus lifting) și al mandibulei (tehnica Khoury, adiție laterală și verticală a zonei molarilor și premolarilor) cu ajutorul cărora am reușit inserarea a 6 implanturi Straumann la nivel maxilar și 8 implanturi dentare mandibular (4 Straumann, 4 MegaGen Anyridge).
Cazul a fost o adevărată provocare, nu numai chirurgical, dar și protetic. Prin prisma resorbției osoase severe maxilare în zona frontală și a purtării îndelungate a protezelor mobile, la momentul consultului inițial, pacientul prezenta un etaj inferior al feței micșorat cu profil concav .
Reabilitarea orala funcțională și estetică, s-a realizat cu ajutorul unei lucrări fixe cimentate la nivelul maxilarului din ceramica pe zirconiu și a 3 lucrări din ceramica pe zirconiu fixe cimentate la nivelul mandibulei.
Ai ajuns în punctul în care îți este greu să mănânci, zâmbești rar sau îți este rușine să vorbești în public din cauza dinților lipsă sau mobili?
Servicii stomatologice de implantologie
Servicii stomatologie de implantologie, implanturi și extracții dentare, rezecții aplicate.
Programare consultație
Dorești sfaturi, informații suplimentare și detalii despre all on x? Solicită o consultație gratuită.


















