
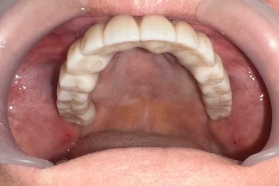
Lucrare dentară protetică fixă din ceramica pe zirconiu
Cazul 56: All on X
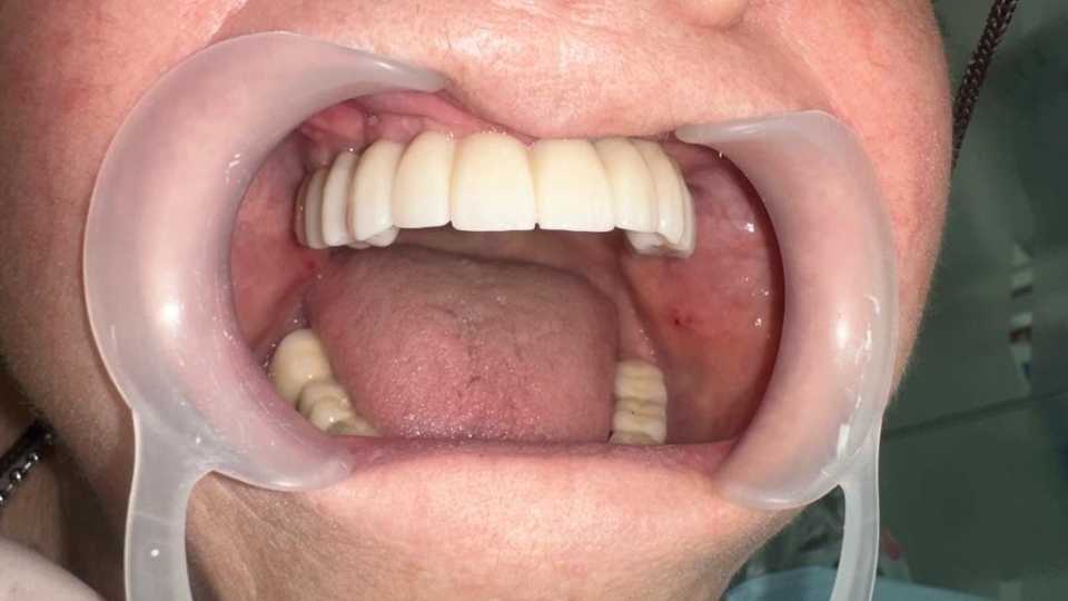
Pacienta, în vârstă de 75 de ani, veche purtătoare de proteza totală maxilară, trecută prin 2 adiții osoase și implanturi nereușite, se prezintă în cadrul clinicii cu dorința găsirii unei soluții de reabilitare protetice fixe a maxilarului.
Împreună cu pacienta am optat pentru implanturi orale speciale,o ultima soluție pentru pacienții cu atrofie osoasă severă.
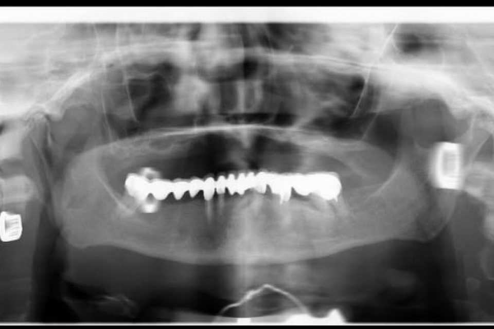
Sub anestezie generală s-au inserat 4 implanturi zigomatice și 2 implanturi pterigoide și 1 implant dentar normal cu ajutorul cărora am realizat o lucrare dentară protetică fixă din ceramica pe zirconiu insurubabila de 14 elemente.
Ai ajuns în punctul în care îți este greu să mănânci, zâmbești rar sau îți este rușine să vorbești în public din cauza dinților lipsă sau mobili?
Servicii stomatologice de implantologie
Servicii stomatologie de implantologie, implanturi și extracții dentare, rezecții aplicate.
Programare consultație
Dorești sfaturi, informații suplimentare și detalii despre all on x? Solicită o consultație gratuită.


















