
Implaturi si sinus lift
Cazul 68: All on X
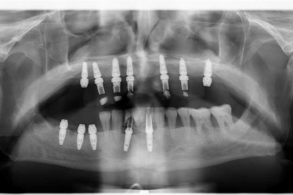
Pacient în vârstă de 39 de ani se prezintă în clinica noastră cu probleme de natură estetică și funcțională la nivelul maxilarului.
În urma consultului de specialitate, s-a decis extracția dinților parodontotici și a unei lucrări vechi, urmată de inserarea a 7 implanturi dentare Mega-Gen AnyRidge, cu adiții osoase și sinus lift bilateral. Implanturile au fost poziționate strategic pentru a permite o reabilitare protetică completă, formată din 14 dinți, asigurând astfel zâmbetul dorit de pacient.
Lucrarea protetică este fixă, înșurubabilă pe suport multiunit, realizată din ceramică pe suport de titan.
Ai ajuns în punctul în care îți este greu să mănânci, zâmbești rar sau îți este rușine să vorbești în public din cauza dinților lipsă sau mobili?
Servicii stomatologice de implantologie
Servicii stomatologie de implantologie, implanturi și extracții dentare, rezecții aplicate.
Programare consultație
Dorești sfaturi, informații suplimentare și detalii despre all on x? Solicită o consultație gratuită.


















