
Implanturi orale speciale zigomatice și pterigoide
Cazul 63: Implant dentar MegaGen AnyRidge
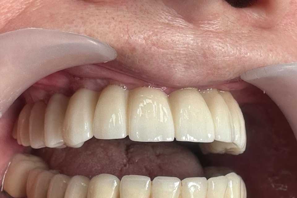
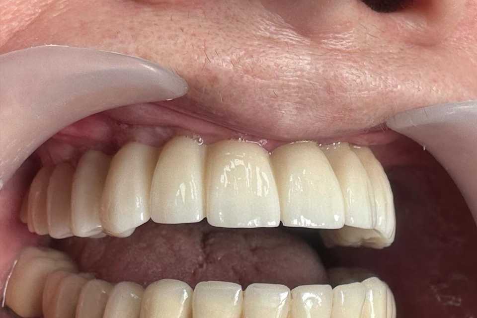
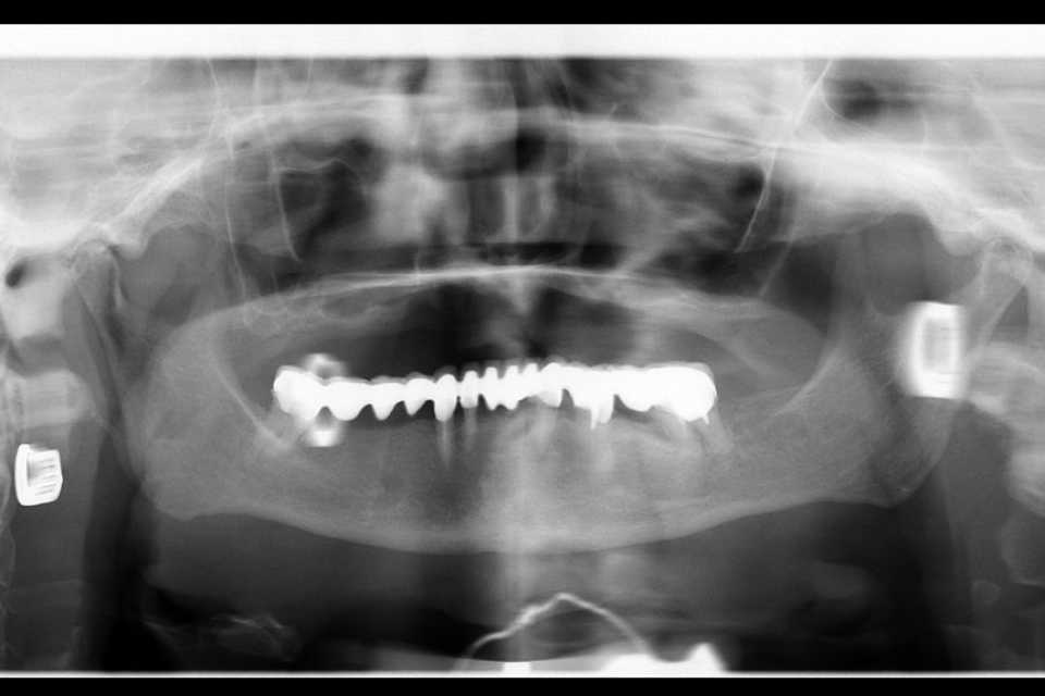
Pacienta, în vârstă de 75 de ani, a fost purtătoare de proteză dentară mobilă timp de peste 15 ani. În urmă cu 2 ani, a încercat o procedură chirurgicală de inserare a implanturilor orale standard și adiție osoasă, însă intervenția nu a avut succes.
Se prezintă acum în clinica noastră cu dorința de a obține o dantură fixă.
Pentru a răspunde nevoilor sale, s-a optat pentru utilizarea unor implanturi orale speciale: 4 implanturi zigomatice, 2 implanturi pterigoide și 1 implant standard. Această abordare a permis reabilitarea completă a arcadei dentare superioare printr-o lucrare protetică fixă, înșurubabilă, realizată din ceramică pe suport de zirconiu.
Implanturile dentare oferă un suport pentru dinții artificiali, eliminând orice neplăceri provocate de aceștia. În plus, implanturile îmbunătățesc masticația și vorbirea. Acestea vă oferă o forță de masticație mai mare, conservarea dinților naturali rămași, confort sporit și estetică superioară.
Programare consultație
Dorești sfaturi, informații suplimentare și detalii despre implant dentar megagen anyridge? Solicită o consultație gratuită.






















