
Implanturi dentare Mega Gen Anyridge și elemente ceramice pe zirconiu
Cazul 58: All on X
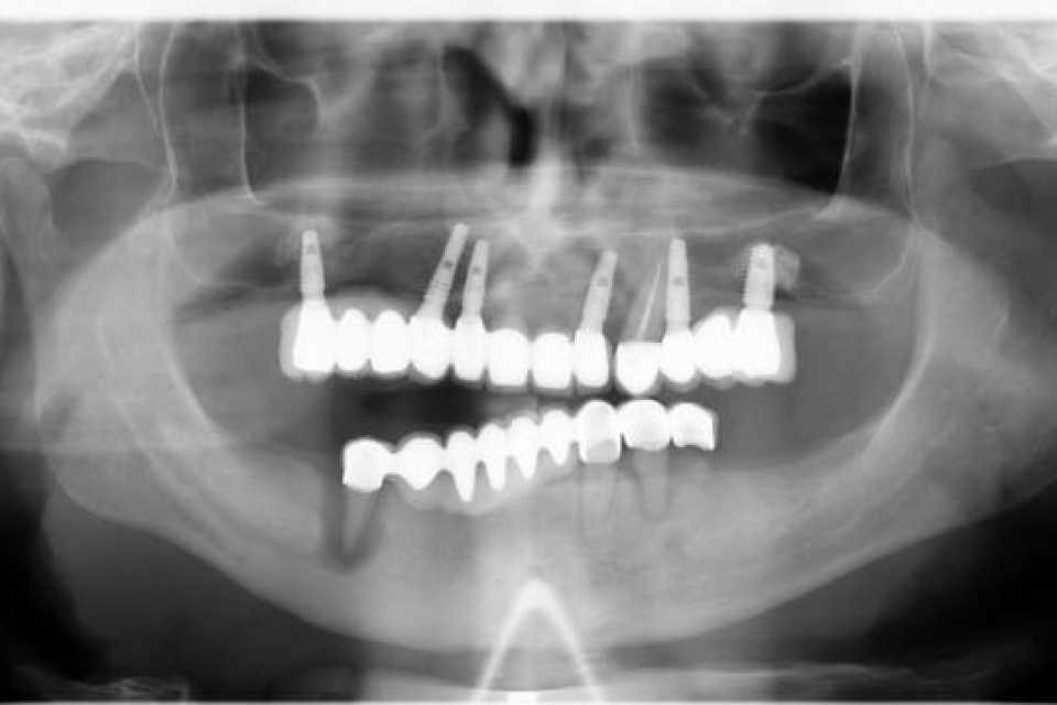
Pacientul în vârstă de 55 de ani, s-a prezentat în cabinet cu o lucrare dentara metalo ceramica ,la nivelul mandibulei, de 9 elemente pe 4 dinti parodontotici irecuperabil.
Împreună cu pacientul am hotărât inserarea a 5 implanturi dentare Mega Gen Anyridge, cu ajutorul cărora într-o prima fază am protezat a doua a zi cu o lucrare provizorie, astfel încât la 2 luni de la intervenție să realizăm lucrarea finală de 12 elemente ceramica pe zirconiu.
Ai ajuns în punctul în care îți este greu să mănânci, zâmbești rar sau îți este rușine să vorbești în public din cauza dinților lipsă sau mobili?
Servicii stomatologice de implantologie
Servicii stomatologie de implantologie, implanturi și extracții dentare, rezecții aplicate.
Programare consultație
Dorești sfaturi, informații suplimentare și detalii despre all on x? Solicită o consultație gratuită.


















