
Reabilitare implaturi Mega Gen Anyridge
Cazul 69: Implant dentar MegaGen AnyRidge
Pacienta, în vârstă de 55 de ani, se prezintă în clinica noastră acuzând dureri în timpul masticației și inconveniente de natură estetică.
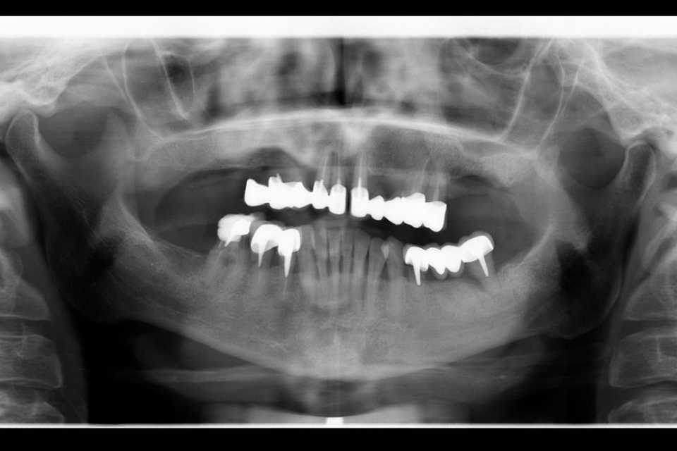
În urma examenului de specialitate, s-a constatat prezența unei punți totale la nivelul maxilarului și a două lucrări vechi la nivelul mandibulei, în zonele laterale premolar-molar. Dintii stâlpi prezentau multiple pungi parodontale, leziuni apicale și mobilitate accentuată.
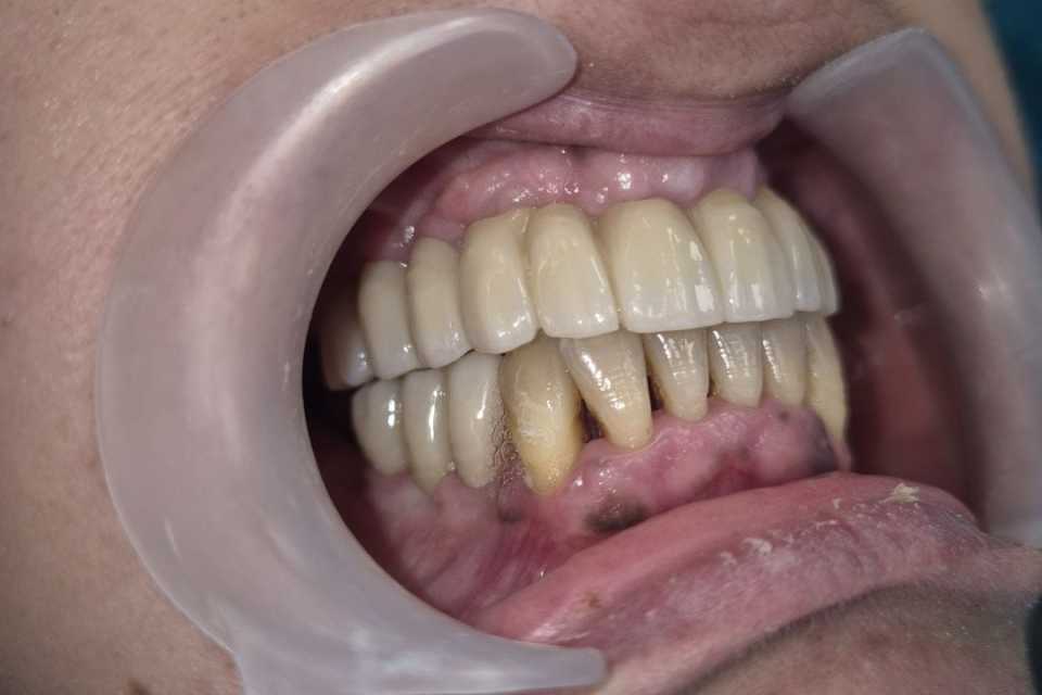
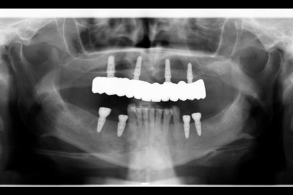
Împreună cu pacienta, am optat pentru un tratament complex, realizat într-o singură ședință. S-au efectuat extracțiile dinților parodontotici, chiuretajul pungilor parodontale și inserarea a 4 implanturi Mega-Gen AnyRidge la nivelul maxilarului. Cu ajutorul capelor multiunit, s-a reușit protezarea imediată, prin aplicarea unei lucrări provizorii din acrilat, la doar 24 de ore de la intervenție. După 2 luni, tratamentul a fost finalizat prin realizarea unei lucrări definitive, înșurubabile, din ceramică pe suport de zirconiu, cu 12 elemente.
La nivelul mandibulei, reabilitarea zonelor laterale premolar-molar s-a realizat prin inserarea a câte două implanturi pe fiecare parte, protezate după 2 luni cu două lucrări din ceramică pe suport de zirconiu, cimentate. Dintii restanți ai mandibulei au fost conservați după tratamentul parodontal și solidarizați printr-o contenție linguală.
Implanturile dentare oferă un suport pentru dinții artificiali, eliminând orice neplăceri provocate de aceștia. În plus, implanturile îmbunătățesc masticația și vorbirea. Acestea vă oferă o forță de masticație mai mare, conservarea dinților naturali rămași, confort sporit și estetică superioară.
Programare consultație
Dorești sfaturi, informații suplimentare și detalii despre implant dentar megagen anyridge? Solicită o consultație gratuită.



















