
Restaurari coronare din zirconiu
Cazul 48: Coroane dentare metalo-ceramice
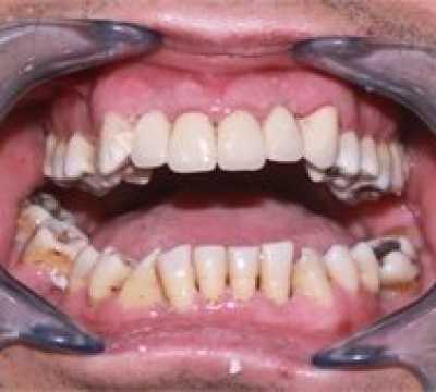
Pacient prezentat in cabinet cu dureri dentare la licide reci si alimente dulci, solicita remedierea problemei senzitive dar si a celei estetice. Initial s-a efectuat indepartarea dentinei alterate (nu si a celei pigmentate) de pe toti dintii, sub anestezie. In urma acestui proces, 2 din cei 6 dinti au beneficiat de tratamente de canal, restul dintiilor vitali fiind sigilati cu un ciment ionomer de sticla (cariostatic). Dupa sigilare dintii au fost slefuiti si amprentati digital in vederea obtinerii de restaurari coronare din zirconiu.
Coroanele dentare au scopul de a readuce la forma naturală și la starea de normală funcționare, un dinte deteriorat.
Servicii și tratamente stomatologice de protetică dentară
Servicii și tratamente de protetică: coroane și punți dentare din materiale nobile sau seminobile, ceramică dentară și fațetări ceramice sau compozite, proteze mobile sau mobilizabile, încrustații din aur, argint sau ceramică.
Programare consultație
Dorești sfaturi, informații suplimentare și detalii despre coroane dentare metalo-ceramice? Solicită o consultație gratuită.
















