
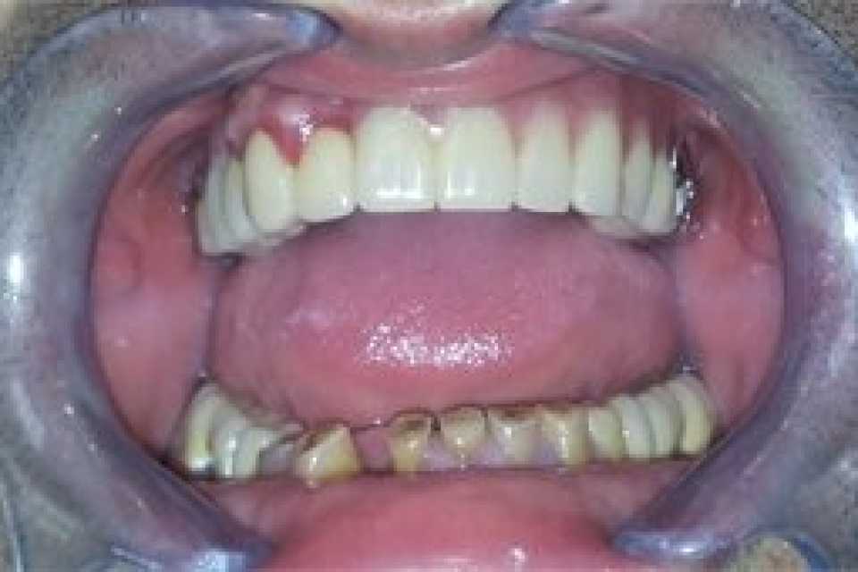
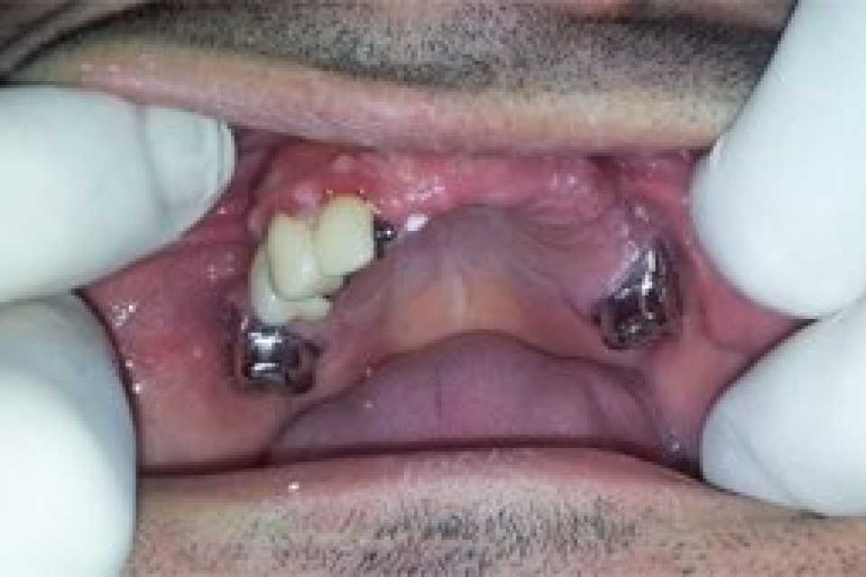
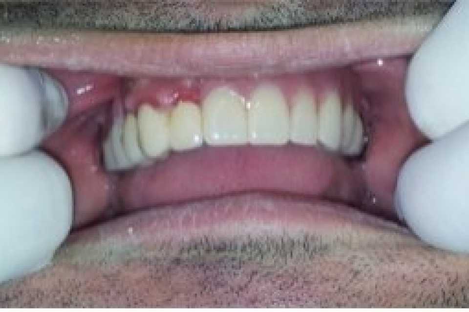
Proteza scheletata superioara pe telescoape si cu 2 crosete ACKERS
Cazul 20: Proteze scheletate cu sisteme speciale de prindere
Protezele scheletale cu sisteme speciale de prindere reprezintă soluții de tratament care necesită înaltă specializare atât a medicului stomatolog, cât și a tehnicianului dentar, fiind recomandate în special pacienților cu edentații extinse, însă care prezintă încă suficienți dinți naturali rămași pe care se pot realiza astfel de lucrări dentare.
Servicii și tratamente stomatologice de protetică dentară
Servicii și tratamente de protetică: coroane și punți dentare din materiale nobile sau seminobile, ceramică dentară și fațetări ceramice sau compozite, proteze mobile sau mobilizabile, încrustații din aur, argint sau ceramică.
Programare consultație
Dorești sfaturi, informații suplimentare și detalii despre proteze scheletate cu sisteme speciale de prindere? Solicită o consultație gratuită.












