
Malocluzie și coroane metalo-ceramice
Cazul 32: Coroane dentare metalo-ceramice
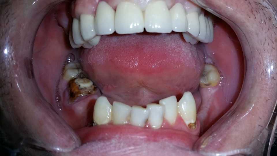
Pacientul, în vârstă de 24 de ani, s-a prezentat din motive estetice, functionale și, mai ales, sociale. Cazul a prezentat dificultăți din cauza malocluziei (inchiderea incorectă a gurii) pacientului. Dupa înregistrarea cu arcul facial, împreuna cu tehnicianul am găsit soluția unei ocluzii corecte. În urma tratamentului protetic (coroane metalo-ceramice) am obținut rezultatul dorit de pacient.
Coroanele dentare au scopul de a readuce la forma naturală și la starea de normală funcționare, un dinte deteriorat.
Programare consultație
Dorești sfaturi, informații suplimentare și detalii despre coroane dentare metalo-ceramice? Solicită o consultație gratuită.














