
Malocluzie și coroane metalo-ceramice
Cazul 32: Coroane dentare metalo-ceramice
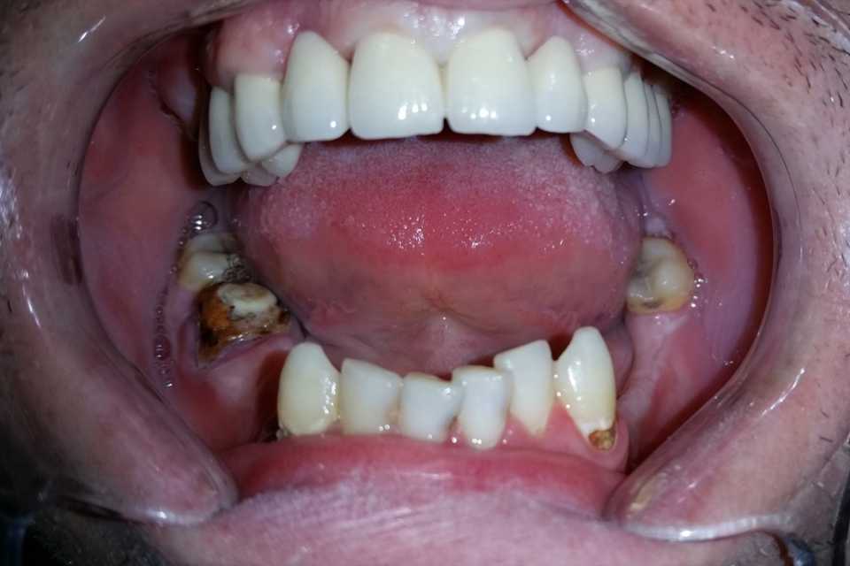
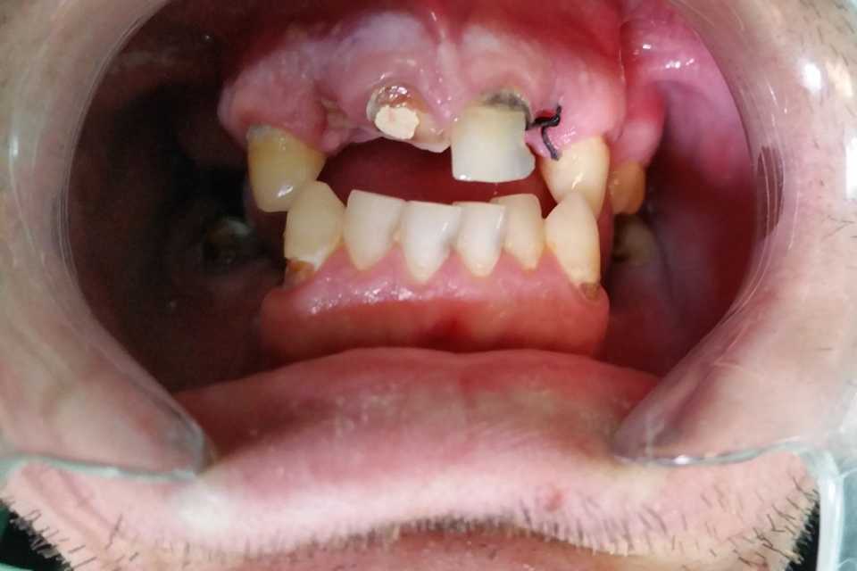
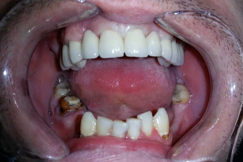
Pacientul, în vârstă de 24 de ani, s-a prezentat din motive estetice, functionale și, mai ales, sociale. Cazul a prezentat dificultăți din cauza malocluziei (inchiderea incorectă a gurii) pacientului. Dupa înregistrarea cu arcul facial, împreuna cu tehnicianul am găsit soluția unei ocluzii corecte. În urma tratamentului protetic (coroane metalo-ceramice) am obținut rezultatul dorit de pacient.
Coroanele dentare au scopul de a readuce la forma naturală și la starea de normală funcționare, un dinte deteriorat.
Servicii și tratamente stomatologice de protetică dentară
Servicii și tratamente de protetică: coroane și punți dentare din materiale nobile sau seminobile, ceramică dentară și fațetări ceramice sau compozite, proteze mobile sau mobilizabile, încrustații din aur, argint sau ceramică.
Programare consultație
Dorești sfaturi, informații suplimentare și detalii despre coroane dentare metalo-ceramice? Solicită o consultație gratuită.















