
Lucrare protetică fixă pe 6 implanturi
Cazul 52: Implant dentar Paltop
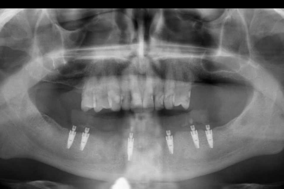
Pacientul Nicu D., în vârstă de 50 de ani, s-a prezentat în cabinet cu o edentație totală mandibulară în urma unei boli parodontale.
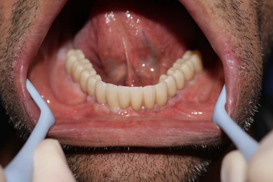
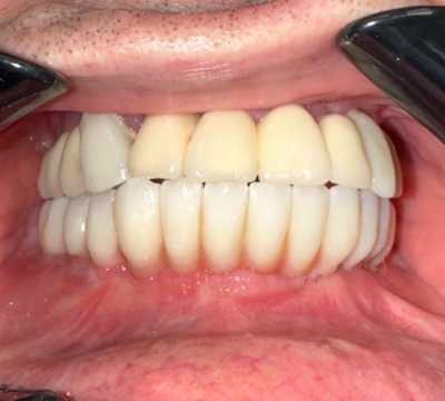
Împreună cu pacientul am hotărât realizarea unei lucrări protetice fixe inșurubabile pe 6 implanturi (implanturi Paltop). Lucrarea a fost realizată din ceramică pe zirconiu.
Prețul per implant a fost de 2500 lei, iar per dinte de 1500 lei.
Implantul Paltop oferă posibilitatea realizării unor lucrări cu o estetică impecabilă și o afectare minimă a țesuturilor la locul implantării. Profilul concav al bontului protetic ajută la formarea unui țesut gingival dens la nivelul legăturii transgingivale scăzând vizibilitatea bontului.
Programare consultație
Dorești sfaturi, informații suplimentare și detalii despre implant dentar paltop? Solicită o consultație gratuită.














