
Lucrare fixă din ceramică și coroane metalo-ceramice
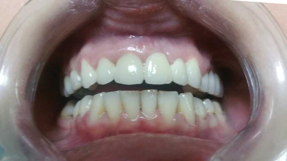
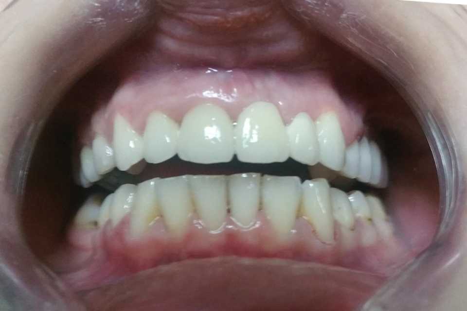
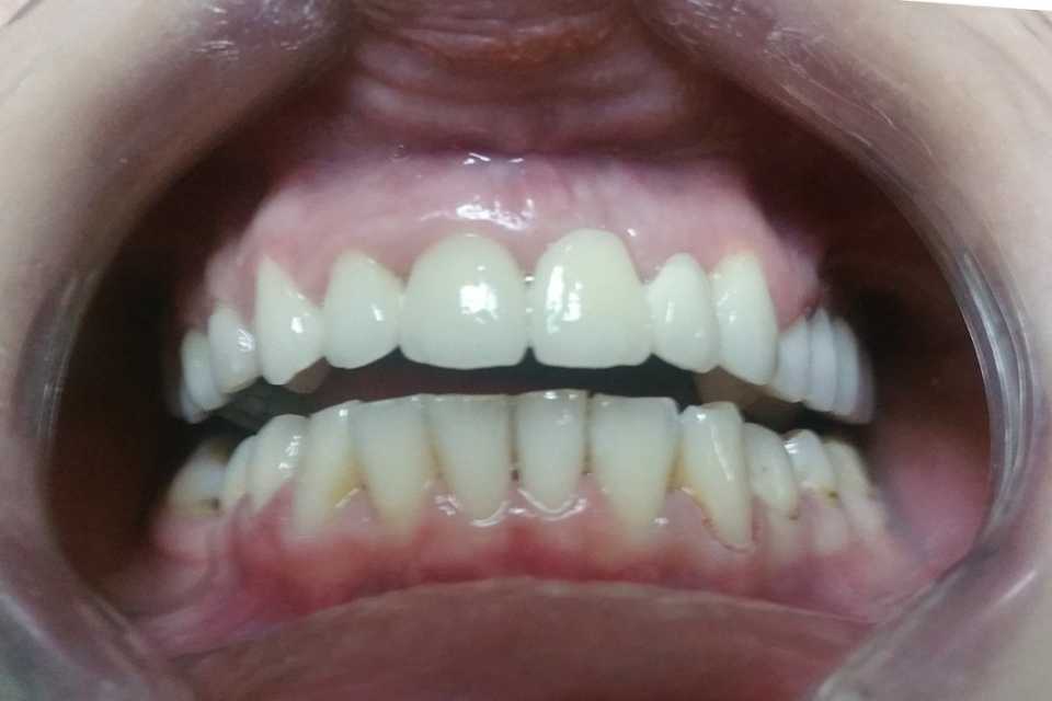
Cazul 33: Coroane dentare metalo-ceramice
Pacienta, în vârstă de 27 de ani, s-a prezentat în cabinet din motive estetice. Cazul a fost o adevărată provocare întrucât pacienta avea un dinte lipsă în zona frontală superioară. Pacienta și-a dorit un zâmbet perfect și a optat pentru o lucrare fixă din ceramică pe zirconiu în zona frontala si coroane metalo-ceramice in zonele laterale. Cazul nu a fost deloc unul ușor deoarece spațiul în zona frontală era limitat - pentru o lucrare corectă atât functional cât și estetic a fost nevoie de o preparare foarte atentă a bonturilor protetice și de o amprentă perfectă.
Coroanele dentare au scopul de a readuce la forma naturală și la starea de normală funcționare, un dinte deteriorat.
Servicii și tratamente stomatologice de protetică dentară
Servicii și tratamente de protetică: coroane și punți dentare din materiale nobile sau seminobile, ceramică dentară și fațetări ceramice sau compozite, proteze mobile sau mobilizabile, încrustații din aur, argint sau ceramică.
Programare consultație
Dorești sfaturi, informații suplimentare și detalii despre coroane dentare metalo-ceramice? Solicită o consultație gratuită.
















