
Implanturi și protetică
Cazul 49: Implant dentar
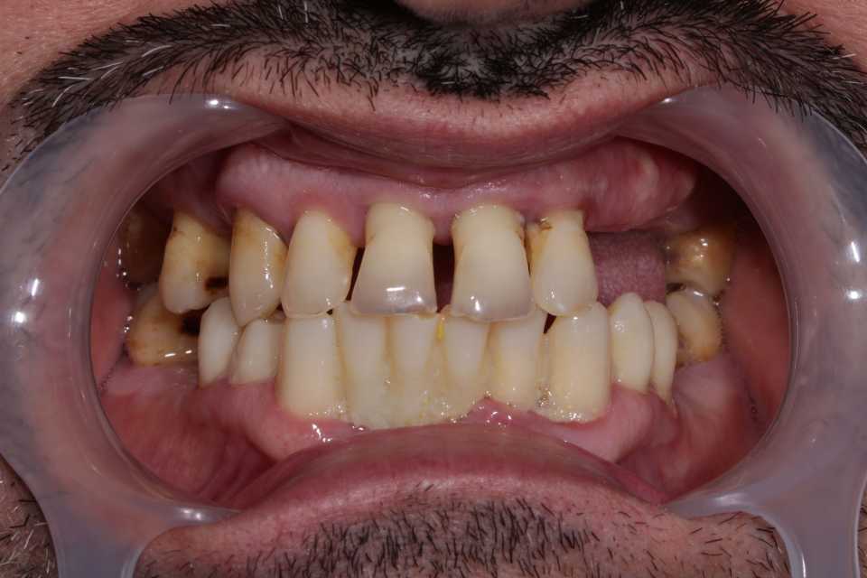
Pacient prezentat in cabinet acuzand lipsa eficientei masticatorii si mobilitate dentara. Planul de tratament a fost multidisciplinar, implicand faze endodontice de tratare a dintilor restanti, faza chiruricala de insertie a implantelor si faza finala, protetica.
Implantul dentar reprezintă un "șurub", de dimensiunea dinților naturali realizat din titan - un metal 100% biocompatibil cu țesuturile umane. Implantul dentar va înlocui un dinte (sau mai mulți) care a fost pierdut în urma unei extracții sau a altor complicații.
Servicii stomatologice de implantologie
Servicii stomatologie de implantologie, implanturi și extracții dentare, rezecții aplicate.
Programare consultație
Dorești sfaturi, informații suplimentare și detalii despre implant dentar? Solicită o consultație gratuită.







