
Implanturi Megagen și coroane metalo-ceramice
Cazul 50: Implant dentar MegaGen AnyRidge
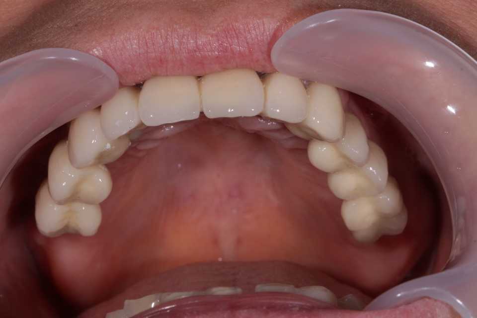
Pacienta prezentata in cabinet fara unitati masticatorii in zonele laterale, solicita solutie protetica.
Planul de tratament constat in realizarea tratamentelor endodontice, in inserarea de implante Megagen (Dr. Todosi Radu) la arcada superioara si in realizarea de coroane de tip metalo-ceramic (Dr. Constantinescu Dinu)
Implanturile dentare oferă un suport pentru dinții artificiali, eliminând orice neplăceri provocate de aceștia. În plus, implanturile îmbunătățesc masticația și vorbirea. Acestea vă oferă o forță de masticație mai mare, conservarea dinților naturali rămași, confort sporit și estetică superioară.
Programare consultație
Dorești sfaturi, informații suplimentare și detalii despre implant dentar megagen anyridge? Solicită o consultație gratuită.















