
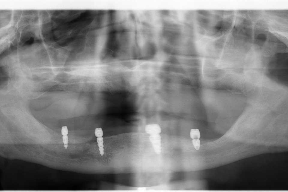
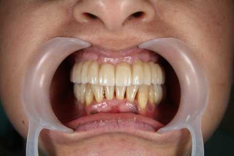
Implanturi mandibulă și lucrare înșurabilă ceramică
Cazul 66: Implant dentar MegaGen AnyRidge
Pacient în vârstă de 77 de ani, purtător de proteză mobilă de peste 20 de ani, nemulțumit de faptul că nu mai poate purta proteza din cauza rezorbției osoase la nivelul mandibulei, se hotărăște pentru o reabilitare protetică fixă cu ajutorul implanturilor dentare și a unei lucrări înșurubabile din ceramică pe suport de titan.
Implanturile dentare oferă un suport pentru dinții artificiali, eliminând orice neplăceri provocate de aceștia. În plus, implanturile îmbunătățesc masticația și vorbirea. Acestea vă oferă o forță de masticație mai mare, conservarea dinților naturali rămași, confort sporit și estetică superioară.
Servicii stomatologice de implantologie
Servicii stomatologie de implantologie, implanturi și extracții dentare, rezecții aplicate.
Programare consultație
Dorești sfaturi, informații suplimentare și detalii despre implant dentar megagen anyridge? Solicită o consultație gratuită.






