
Cazul 41
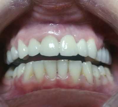
Coroane total fizionomice E-Max
Cazul 41: Coroane dentare metalo-ceramice
Cazuri • 2018/10
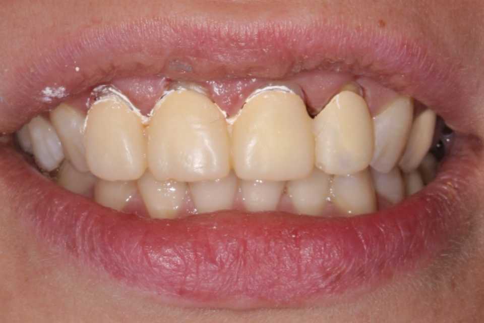
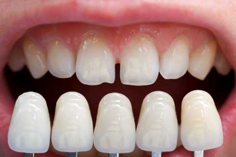
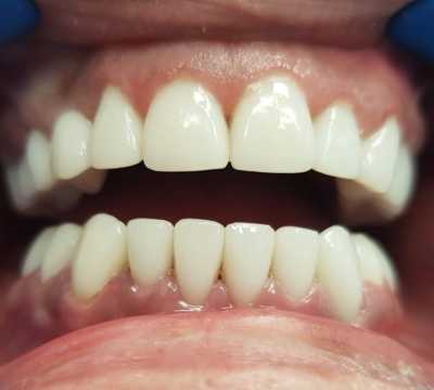
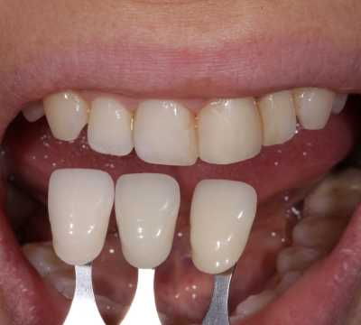
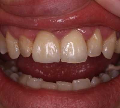
Pacienta, in varsta de 33 de ani, s-a prezentat la cabinet cu o lucrare veche (inestetica) cu dorinta de a o schimba. Am decis impreuna cu pacienta si tehnicianul sa o schimbam cu coroane total fizionomice E-Max. Rezultatul a fost unul wow.
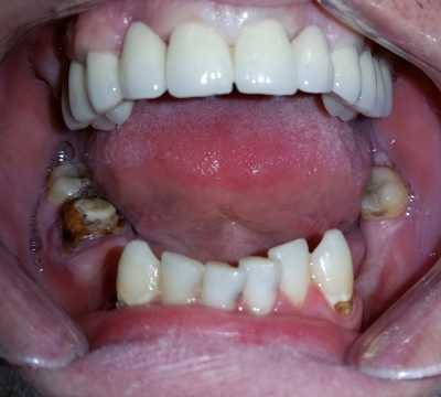
Imaginile sunt prezentate în ordinea evoluției tratamentului, de la situația inițială la rezultatul final.
Coroanele dentare au scopul de a readuce la forma naturală și la starea de normală funcționare, un dinte deteriorat.
Programare consultație
Dorești sfaturi, informații suplimentare și detalii despre coroane dentare metalo-ceramice? Solicită o consultație gratuită.















