
Coroane si fatete E-Max
Cazul 40: Fațetă E-MAX
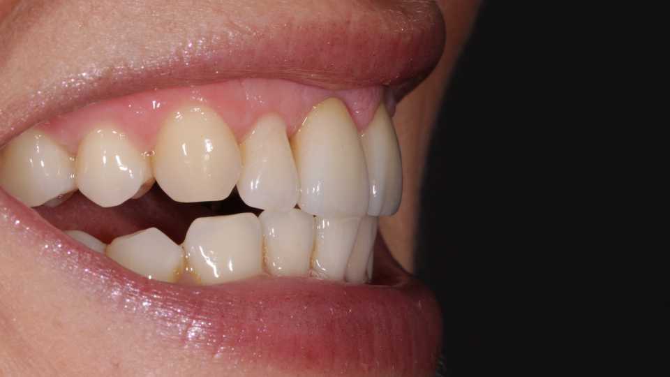
Pacienta, in vârstă de 30 de ani, s-a prezentat la noi din motive estetice. Impreuna cu pacienta am optat pentru o protezare cu coroane si fatete E-Max.
Cazul a fost unul foarte dificil pentru ca am imbracat doar o parte din dinti. Am reusit sa obținem aceeasi forma si culoare cu cea a dintilor naturali, păstrând vitalitatea dintilor protezati, rezultatul fiind unul spectaculos.
Servicii și tratamente stomatologice de protetică dentară
Servicii și tratamente de protetică: coroane și punți dentare din materiale nobile sau seminobile, ceramică dentară și fațetări ceramice sau compozite, proteze mobile sau mobilizabile, încrustații din aur, argint sau ceramică.
Programare consultație
Dorești sfaturi, informații suplimentare și detalii despre fațetă e-max? Solicită o consultație gratuită.









