
Coroane și punți din ceramică pe substrat de zirconiu
Cazul 46: Coroane dentare metalo-ceramice
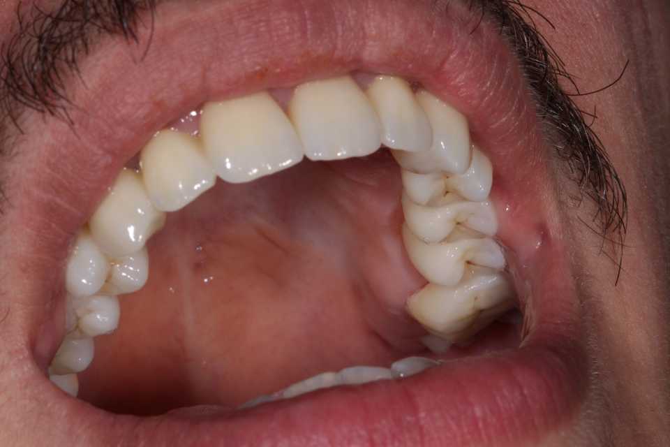
Pacientul s-a prezentat la cabinet din ratiuni estetice, din cauza durerilor dentare dar si fiindca masticatia devenise ineficienta.
Din cauza absentei unitatilor masticatorii in zonele laterale, etajul inferior al fetei a suferit o micsorare (micsorarea DVO - dimensiune verticala de ocluzie) in sens vertical.
Pentru reabilitarea protetica a fost nevoie de o etapa intermediara de diagnosticare a noii DVO, astfel incat lucrarile protetice finale sa respecte aceasta dimensiune. Astfel au fost realizate pentru o perioada de 6 luni lucrari protetice provizorii din PMMA, care au sufeit mici modificari legate de forma dintilor.
In ceea ce priveste lucrarile finale, am optat impreuna cu pacientul pentru coroane si punti din ceramica pe subtrat de zirconiu. Preparatiile pentru coroane au fost realizate cu prag juxtagingival (zona laterala) sau subgingival 0,3mm (in zona frontala) pentru un efect estetic maxim, dar si pentru a nu crea o zona retentiva intre dinte si coroana.
Coroanele dentare au scopul de a readuce la forma naturală și la starea de normală funcționare, un dinte deteriorat.
Servicii și tratamente stomatologice de protetică dentară
Servicii și tratamente de protetică: coroane și punți dentare din materiale nobile sau seminobile, ceramică dentară și fațetări ceramice sau compozite, proteze mobile sau mobilizabile, încrustații din aur, argint sau ceramică.
Programare consultație
Dorești sfaturi, informații suplimentare și detalii despre coroane dentare metalo-ceramice? Solicită o consultație gratuită.

















