
Coroane si fatete E-Max
Cazul 40: Coroane dentare metalo-ceramice
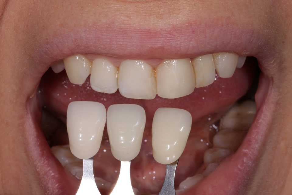
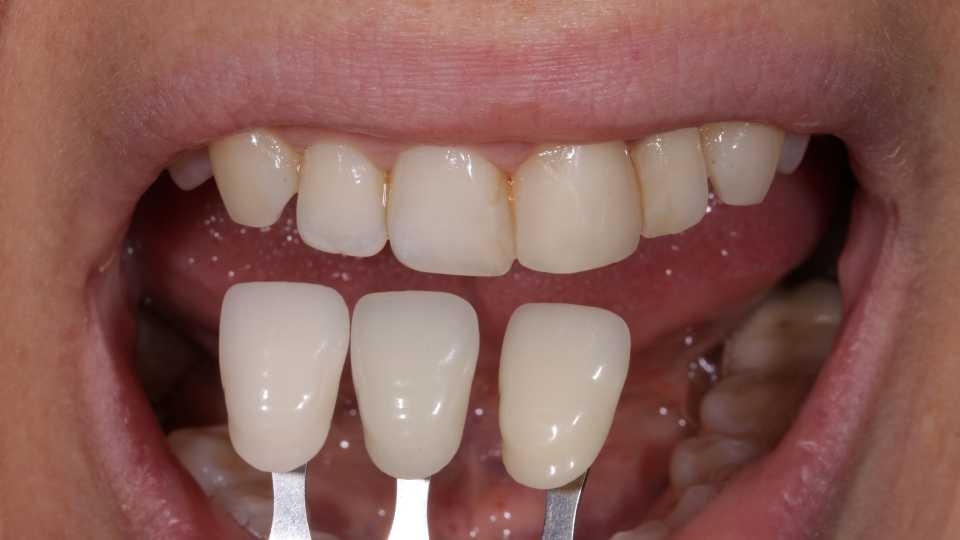
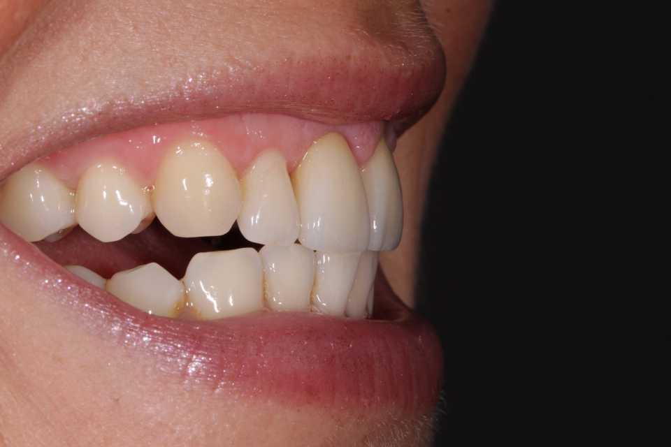
Pacienta, in vârstă de 30 de ani, s-a prezentat la noi din motive estetice. Impreuna cu pacienta am optat pentru o protezare cu coroane si fatete E-Max.
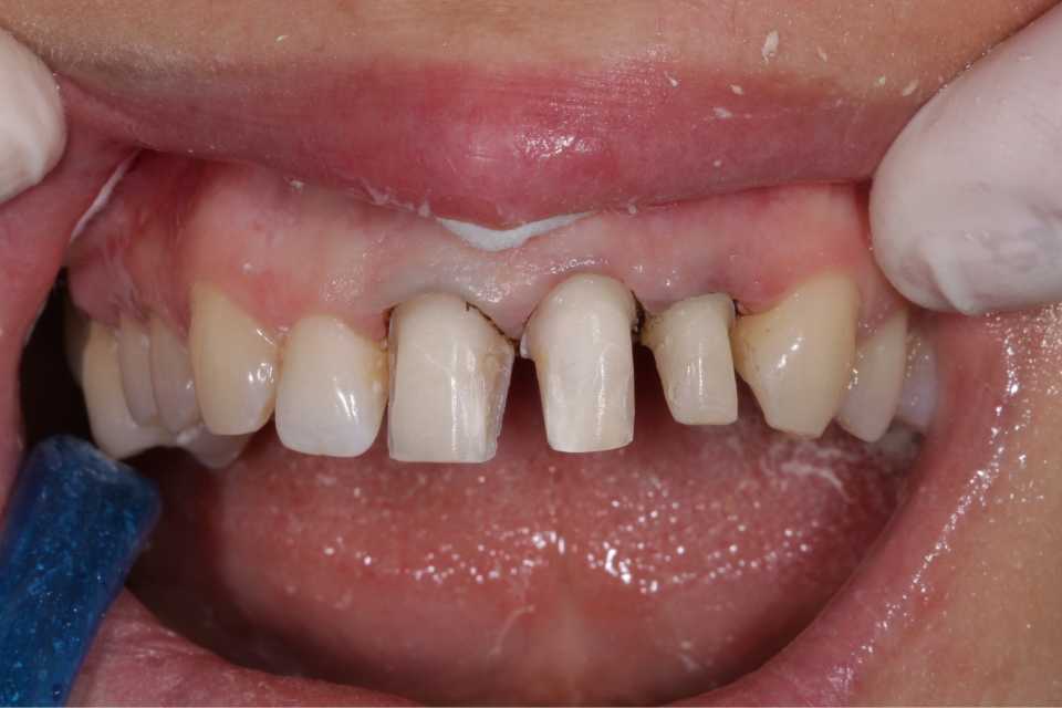
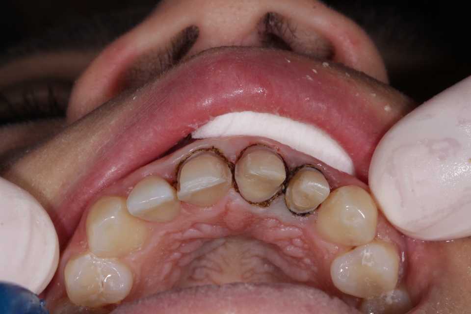
Cazul a fost unul foarte dificil pentru ca am imbracat doar o parte din dinti. Am reusit sa obținem aceeasi forma si culoare cu cea a dintilor naturali, păstrând vitalitatea dintilor protezati, rezultatul fiind unul spectaculos.
Coroanele dentare au scopul de a readuce la forma naturală și la starea de normală funcționare, un dinte deteriorat.
Programare consultație
Dorești sfaturi, informații suplimentare și detalii despre coroane dentare metalo-ceramice? Solicită o consultație gratuită.



















