
Coroane ceramice pe suport de zirconiu
Cazul 51: Coroane dentare metalo-ceramice
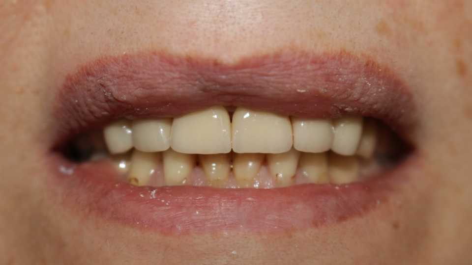
Pacienta s-a prezentat in cabinet cu intentia de a-si îmbunătăți estetica.
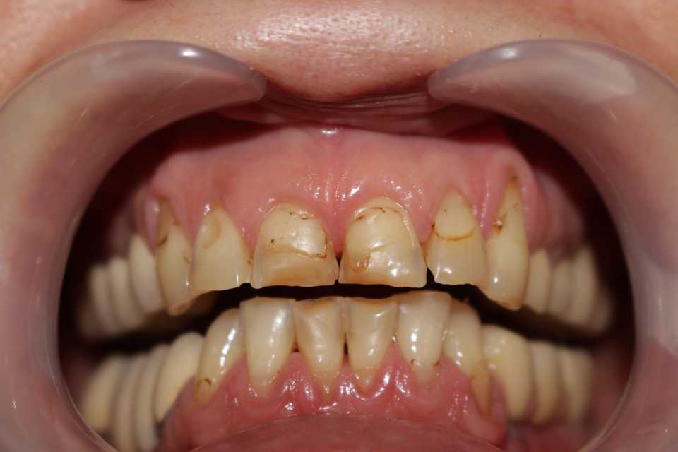
Poza inițială relevă obturatii nefizionomice, cu un compozit imbatranit ce prezinta la interfata cu dintele discromii exogene. De mentionat este si faptul ca toti dintii sunt vitali.
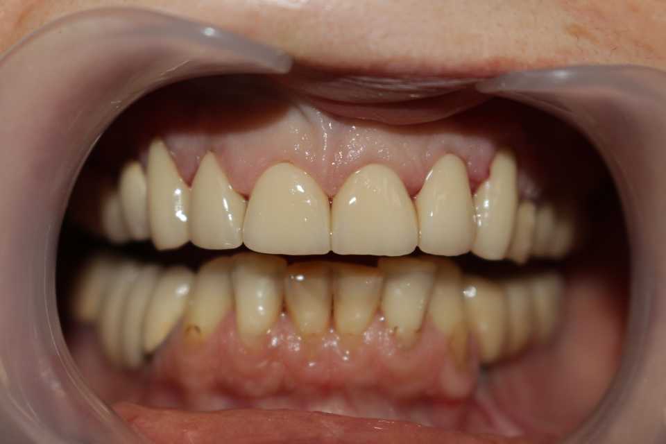
Cazul a fost rezolvat cu ajutorul coroanelor de tip ceramică pe suport de zirconiu, in 2 sedinte, cu slefuiri minim invazive, dintii ramanand vitali.
Coroanele dentare au scopul de a readuce la forma naturală și la starea de normală funcționare, un dinte deteriorat.
Servicii și tratamente stomatologice de protetică dentară
Servicii și tratamente de protetică: coroane și punți dentare din materiale nobile sau seminobile, ceramică dentară și fațetări ceramice sau compozite, proteze mobile sau mobilizabile, încrustații din aur, argint sau ceramică.
Programare consultație
Dorești sfaturi, informații suplimentare și detalii despre coroane dentare metalo-ceramice? Solicită o consultație gratuită.
















