
Coroane dentare metalo-ceramice
Cazul 10: Coroane dentare metalo-ceramice
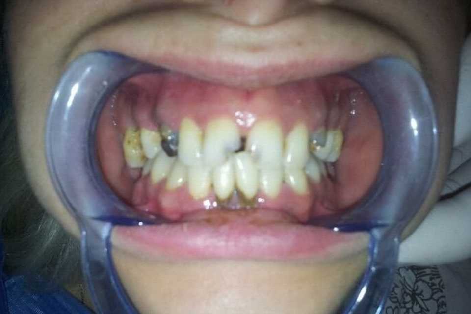
Pacienta s-a prezentat în cabinet din motive estetice. Am hotărât refacerea celor 4 incisivi superiori cu ajutorul a 4 coroane de acoperire metalo-ceramice (pentru o mai bună estetică), iar părțile laterale prin 2 lucrări fixe metalo-ceramice. Toate lucrările au fost realizate din ceramică Vita.
Coroanele dentare au scopul de a readuce la forma naturală și la starea de normală funcționare, un dinte deteriorat.
Servicii și tratamente stomatologice de protetică dentară
Servicii și tratamente de protetică: coroane și punți dentare din materiale nobile sau seminobile, ceramică dentară și fațetări ceramice sau compozite, proteze mobile sau mobilizabile, încrustații din aur, argint sau ceramică.
Programare consultație
Dorești sfaturi, informații suplimentare și detalii despre coroane dentare metalo-ceramice? Solicită o consultație gratuită.














