
Coroane dentare metalo-ceramice Vita
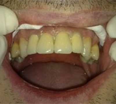
Cazul 4: Coroane dentare metalo-ceramice
Pacientul s-a prezentat la cabinet din motive estetice. Vechea lucrare acrilică a fost îndepărtată, refacute tratamentele de canal cât și bonturile protetice. Pentru un mai bun aspect fizionomic am optat pentru o protezare individuală a dinților prin coroane de acoperire metalo-ceramice (ceramică Vita 450 RON / element).
Coroanele dentare au scopul de a readuce la forma naturală și la starea de normală funcționare, un dinte deteriorat.
Servicii și tratamente stomatologice de protetică dentară
Servicii și tratamente de protetică: coroane și punți dentare din materiale nobile sau seminobile, ceramică dentară și fațetări ceramice sau compozite, proteze mobile sau mobilizabile, încrustații din aur, argint sau ceramică.
Programare consultație
Dorești sfaturi, informații suplimentare și detalii despre coroane dentare metalo-ceramice? Solicită o consultație gratuită.
















