
Cazul 3
Coroane dentare individuale metalo-ceramice
Cazul 3: Coroane dentare metalo-ceramice
Cazuri • 2012/12
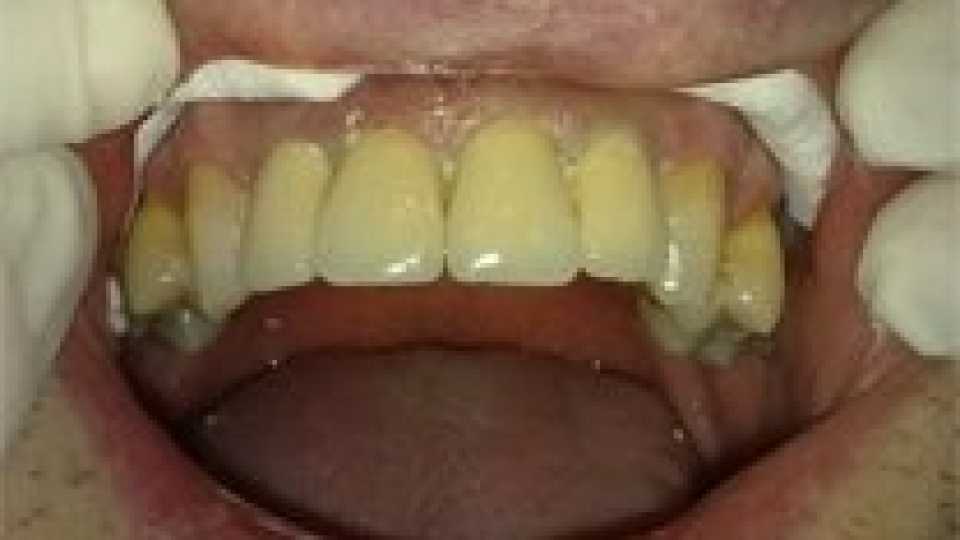
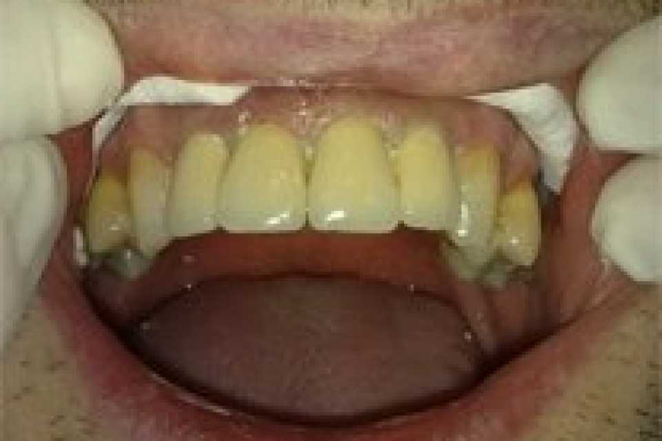
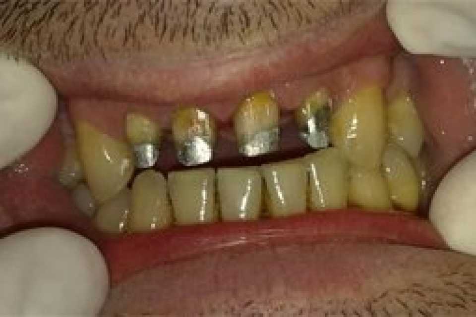
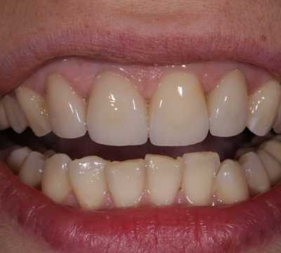
Pacientul s-a prezentat în cabinet cu o lucrare prost adaptată și dinții cariați. Am refăcut tratamentele endodontice precum și bonturile protetice (pivoți metalici). Noua lucrare este din coroane individuale metalo-ceramice (ceramică Vita).
Imaginile sunt prezentate în ordinea evoluției tratamentului, de la situația inițială la rezultatul final.
Coroanele dentare au scopul de a readuce la forma naturală și la starea de normală funcționare, un dinte deteriorat.
Programare consultație
Dorești sfaturi, informații suplimentare și detalii despre coroane dentare metalo-ceramice? Solicită o consultație gratuită.















