
Coroane ceramice Emax
Cazul 45: Coroane dentare metalo-ceramice
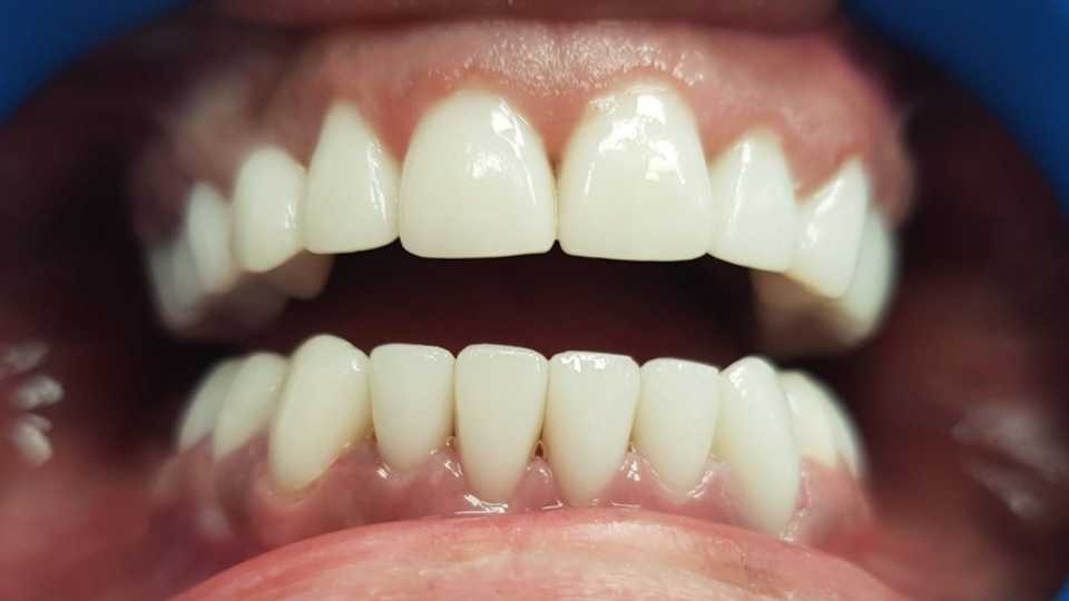
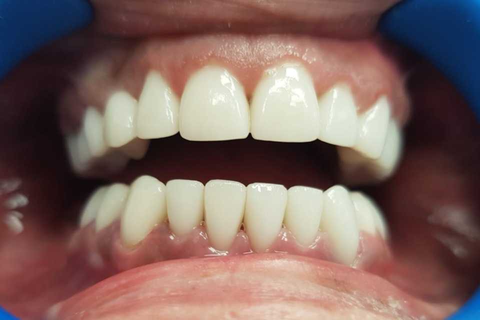
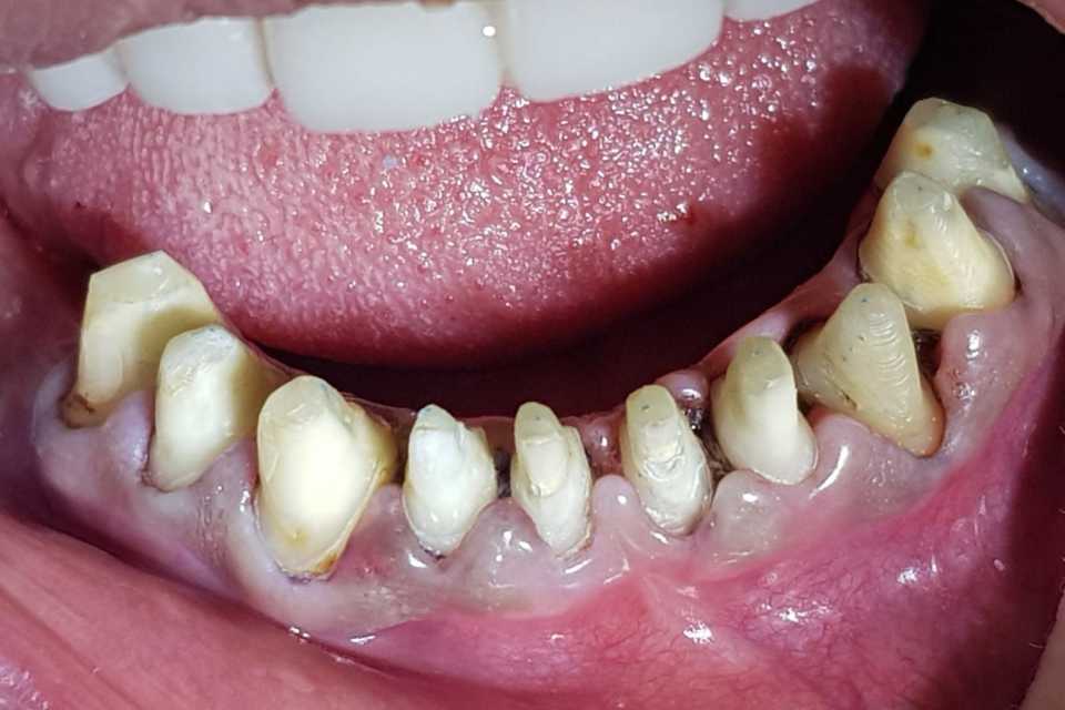
Pacienta in varsta de 37 de ani, ce prezenta lucrari metalo-ceramice anterioare, care doreste inlocuirea acestora cu coroane ceramice E-max, in vederea obtinerii unui aspect mult mai natural.
A fost necesara ablatia lucrarii metalo-ceramice si inlocuirea pivotilor metalici cu pivoti de fibra de sticla, fiecare bont dentar fiind acoperit de coroane E-max individuale, reusind astfel sa pastram transparenta naturale a coroanelor, pentru obtinerea aspectului estetic dorit.
Coroanele dentare au scopul de a readuce la forma naturală și la starea de normală funcționare, un dinte deteriorat.
Servicii și tratamente stomatologice de protetică dentară
Servicii și tratamente de protetică: coroane și punți dentare din materiale nobile sau seminobile, ceramică dentară și fațetări ceramice sau compozite, proteze mobile sau mobilizabile, încrustații din aur, argint sau ceramică.
Programare consultație
Dorești sfaturi, informații suplimentare și detalii despre coroane dentare metalo-ceramice? Solicită o consultație gratuită.















