
Reconstituire extemporanee pivot fibră de sticlă
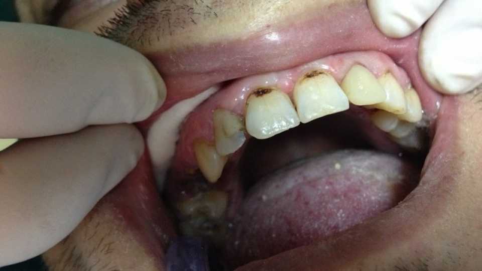
Cazul 6: Reconstituire extemporanee, pivot fibră de sticlă
Pivotul dentar se folosește atunci când coroana dintelui ce urmează a fi reconstituit este compromisă, pivotul având două părți: una ce se introduce în canalul radicular și alta ce va reprezenta suport de susținere pentru coroana dentară.
Servicii și tratamente stomatologice de protetică dentară
Servicii și tratamente de protetică: coroane și punți dentare din materiale nobile sau seminobile, ceramică dentară și fațetări ceramice sau compozite, proteze mobile sau mobilizabile, încrustații din aur, argint sau ceramică.
Programare consultație
Dorești sfaturi, informații suplimentare și detalii despre reconstituire extemporanee, pivot fibră de sticlă? Solicită o consultație gratuită.






