
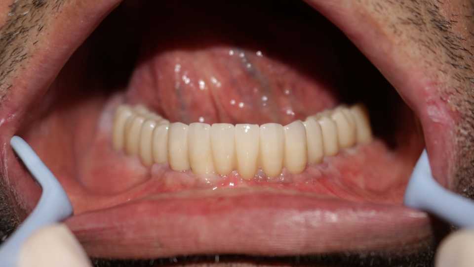
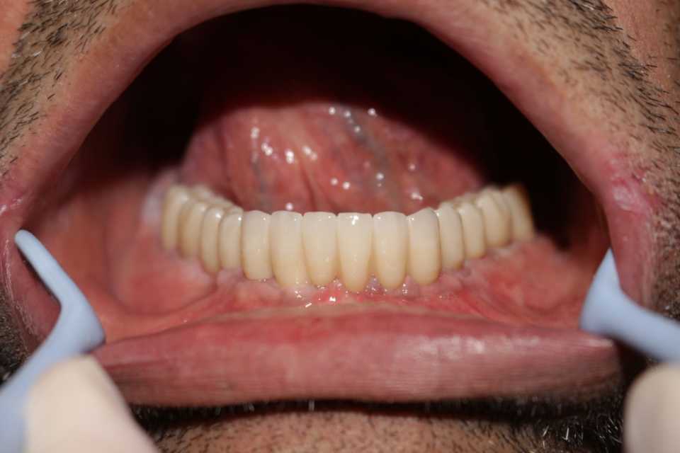
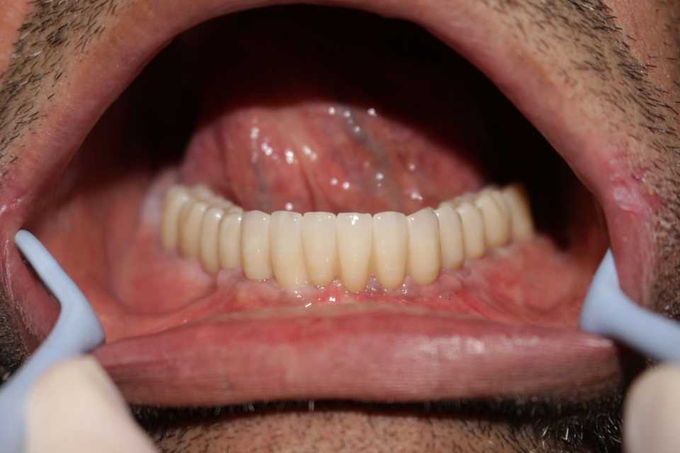
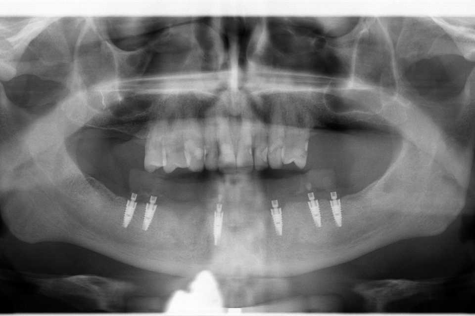
Reabilitare orală cu implanturi dentare Paltop, protezate cu lucrare insurubabila fixa din ceramica pe suport de zirconiu
Cazul 64: All on 6
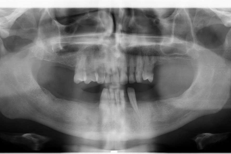
Pacientul, în vârstă de 51 de ani, se prezintă în clinica noastră acuzând tulburări funcționale, dureri la nivelul mandibulei, precum și dorința de a îmbunătăți aspectul estetic.
În urma consultului de specialitate, s-a stabilit un plan de tratament în două etape:
Prima etapă – sub anestezie loco-regională, s-au efectuat extracția dinților parodontotici, chiuretajul și regularizarea crestei osoase, urmate de inserarea a 6 implanturi dentare Paltop (SUA) (preț: 2.500 lei per implant) și realizarea unei lucrări provizorii din acrilat.
A doua etapă – la aproximativ 5 săptămâni de la prima intervenție, implanturile sunt protezate printr-o lucrare fixă, înșurubabilă, din ceramică pe suport de zirconiu (preț: 1.500 lei per element).
All-on-X – dinți ficși într-o singură zi, o nouă viață pentru zâmbetul tău
Ai ajuns în punctul în care îți este greu să mănânci, zâmbești rar sau îți este rușine să vorbești în public din cauza dinților lipsă sau mobili?
Programare consultație
Dorești sfaturi, informații suplimentare și detalii despre all on 6? Solicită o consultație gratuită.












