
Punți totale superioare și inferioare
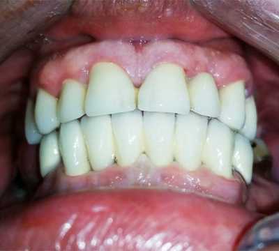
Cazul 1: Punți dentare
Pacienta s-a prezentat în cabinet din motive funcționale, dar și estetice. S-a decis tratamentul prin protezare cu doua punți totale. Superior am optat pentru o punte totală de tip Weisser (preț redus 350 RON / element). Inferior am optat pentru o punte totală metalo-ceramica (ceramică Vita, preț 450 RON / element). Pozele au fost efectuate la 1 an după cimentarea provizorie a lucrărilor, când pacienta s-a prezentat pentru cimentarea definitivă.
Punțile dentare reprezintă acele lucrări protetice menite să înlocuiască unul sau mai mulți dinți lipsă.
Servicii și tratamente stomatologice de protetică dentară
Servicii și tratamente de protetică: coroane și punți dentare din materiale nobile sau seminobile, ceramică dentară și fațetări ceramice sau compozite, proteze mobile sau mobilizabile, încrustații din aur, argint sau ceramică.
Programare consultație
Dorești sfaturi, informații suplimentare și detalii despre punți dentare? Solicită o consultație gratuită.









