
Cazul 23
Punți dentare
Cazul 23: Punți dentare
Cazuri • Protetică dentară • 2014/09
Punți dentare.
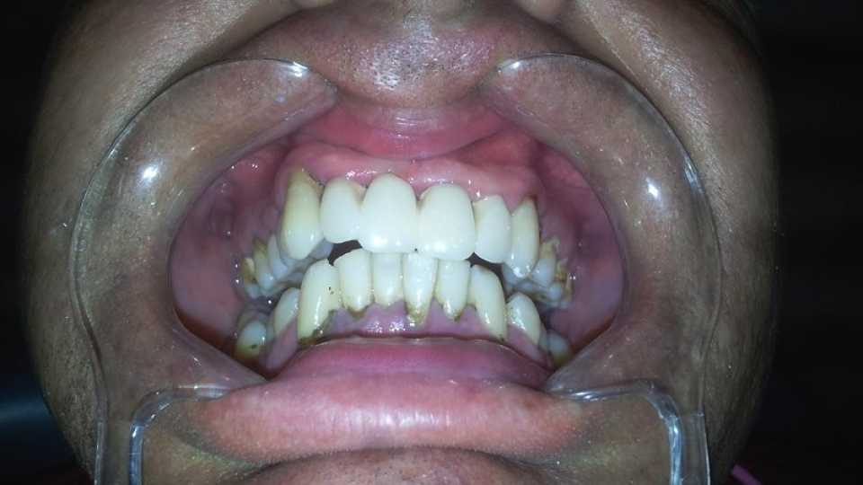
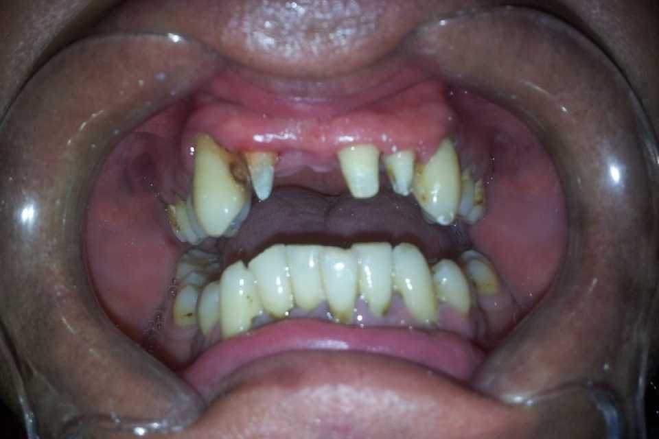
Imaginile sunt prezentate în ordinea evoluției tratamentului, de la situația inițială la rezultatul final.
Punțile dentare reprezintă acele lucrări protetice menite să înlocuiască unul sau mai mulți dinți lipsă.
Servicii și tratamente stomatologice de protetică dentară
Servicii și tratamente de protetică: coroane și punți dentare din materiale nobile sau seminobile, ceramică dentară și fațetări ceramice sau compozite, proteze mobile sau mobilizabile, încrustații din aur, argint sau ceramică.
Programare consultație
Dorești sfaturi, informații suplimentare și detalii despre punți dentare? Solicită o consultație gratuită.










