
Punți dentare
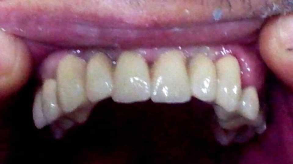
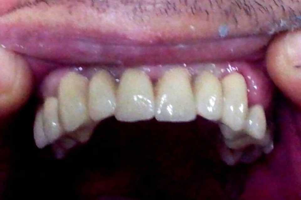
Cazul 5: Punți dentare
Pacientul, în varsta de 35 de ani, s-a prezentat în cabinet din motive estetice, dar și funcționale. Am optat pentru o punte totală metalo-ceramică (Vita, preț 450 RON / element).
Punțile dentare reprezintă acele lucrări protetice menite să înlocuiască unul sau mai mulți dinți lipsă.
Servicii și tratamente stomatologice de protetică dentară
Servicii și tratamente de protetică: coroane și punți dentare din materiale nobile sau seminobile, ceramică dentară și fațetări ceramice sau compozite, proteze mobile sau mobilizabile, încrustații din aur, argint sau ceramică.
Programare consultație
Dorești sfaturi, informații suplimentare și detalii despre punți dentare? Solicită o consultație gratuită.









