
Punte dentara din ceramică Vita pe structură metalică
Cazul 24: Punți dentare
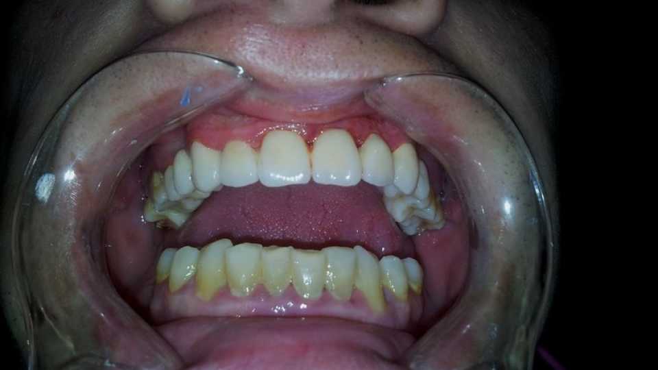
Pacientul s-a prezentat în cabinet din motive estetice, acuzând sângerarea spontană și la periaj a gingiilor. Am îndepărtat vechea lucrare, am refăcut tratamentele și bonturile protetice. Noua lucrare protetică este realizată din ceramică Vita pe structură metalică.
Punțile dentare reprezintă acele lucrări protetice menite să înlocuiască unul sau mai mulți dinți lipsă.
Servicii și tratamente stomatologice de protetică dentară
Servicii și tratamente de protetică: coroane și punți dentare din materiale nobile sau seminobile, ceramică dentară și fațetări ceramice sau compozite, proteze mobile sau mobilizabile, încrustații din aur, argint sau ceramică.
Programare consultație
Dorești sfaturi, informații suplimentare și detalii despre punți dentare? Solicită o consultație gratuită.










