
Lucrare fixă înșurubabilă pe implanturi
Cazul 53: All on 6
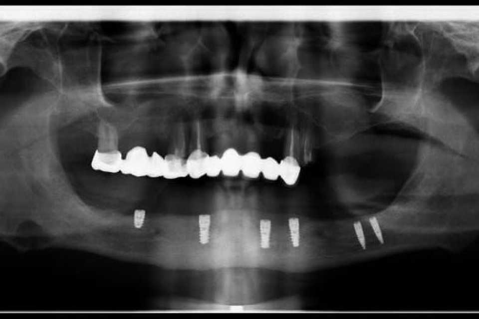
Pacient în vârstă de 45 de ani, vechi purtator de proteza totală inferioara s a prezentat cu dorința de a efectua o lucrare pe implanturi fixa.
Cazul a fost unul foarte dificil prin prisma resorbtiei osoase în zonele laterale mandibulare și ale patologiilor asociate ale pacientului, prohibitive pentru adiții osoase.
Astfel, am optat, impreuna cu pacientul, pentru 6 implanturi Straumann BLX Roxolid, inserate lateral de nervul alveolar inferior, metodă care ne-a ajutat sa evitam procedura de aditie osoasă, pe care am realizat o lucrare fixa insurubabila din Zirconiu.
Rezultatul final a fost pe masura așteptărilor pacientului.
All-on-X – dinți ficși într-o singură zi, o nouă viață pentru zâmbetul tău
Ai ajuns în punctul în care îți este greu să mănânci, zâmbești rar sau îți este rușine să vorbești în public din cauza dinților lipsă sau mobili?
Programare consultație
Dorești sfaturi, informații suplimentare și detalii despre all on 6? Solicită o consultație gratuită.










