
Implanturi dentare și punți fixe de ceramica pe zirconiu
Cazul 59: All on 6
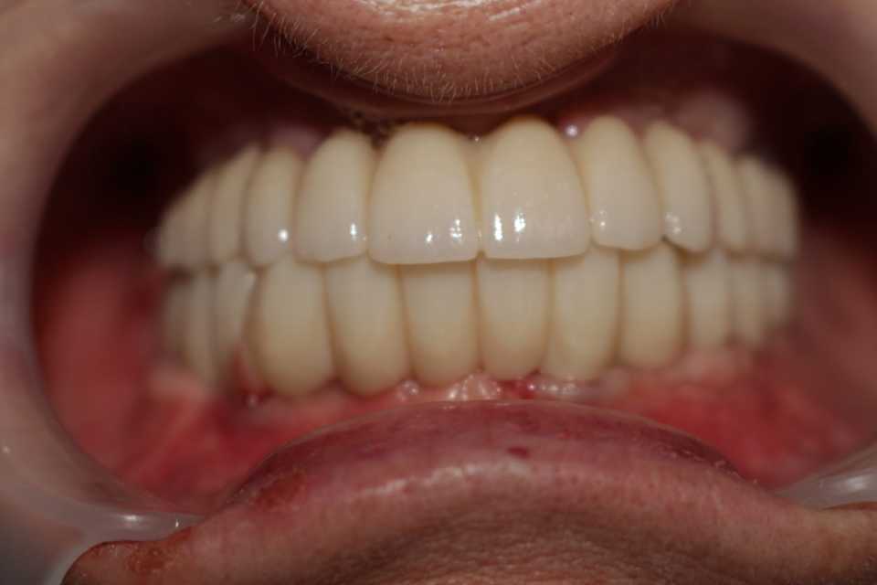
Pacienta în vârstă de 67 de ani, se prezintă în clinica avand dinți parodontotici irecuperabili la nivelul maxilarului și al mandibulei, dificultăți în masticație, halena fetida si complexe estice majore. Dorința pacientei a fost realizarea unor lucrări protetice fixe la nivelul maxilarului și al mandibulei cu ajutorul implanturilor dentare.
Cu a ajutorul a 12 implanturi dentare inserate, în aceeași ședință, la nivel maxilar și nivel mandibular am reușit, în prima fază, realizarea unor lucrări dentare de acrilat a doua zi de la intervenție.
La 3 luni, după osteointegrarea implanturilor și modelarea gingiei, am realizat 2 punți fixe de ceramica pe zirconiu, cu care am reabilitat funcțional și estetic cavitatea bucală.
All-on-X – dinți ficși într-o singură zi, o nouă viață pentru zâmbetul tău
Ai ajuns în punctul în care îți este greu să mănânci, zâmbești rar sau îți este rușine să vorbești în public din cauza dinților lipsă sau mobili?
Programare consultație
Dorești sfaturi, informații suplimentare și detalii despre all on 6? Solicită o consultație gratuită.











