
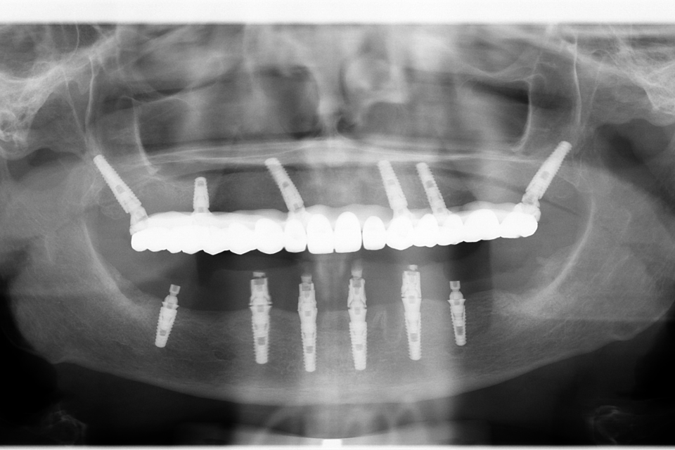
Cazul 70
All on 6, implanturi orale speciale pterigoide
Cazul 70: All on 6
Cazuri • All on X • 2025/03
All on 6, implanturi orale speciale pterigoide.
Imaginile sunt prezentate în ordinea evoluției tratamentului, de la situația inițială la rezultatul final.
All-on-X – dinți ficși într-o singură zi, o nouă viață pentru zâmbetul tău
Ai ajuns în punctul în care îți este greu să mănânci, zâmbești rar sau îți este rușine să vorbești în public din cauza dinților lipsă sau mobili?
Programare consultație
Dorești sfaturi, informații suplimentare și detalii despre all on 6? Solicită o consultație gratuită.











