În perioada 22 decembrie - 7 ianuarie suntem în concediu de odihnă. Sărbători fericite!

Cazul 22
Albirea profesională a dinților
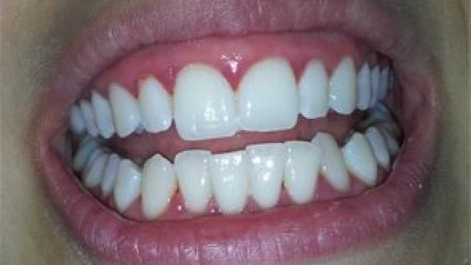
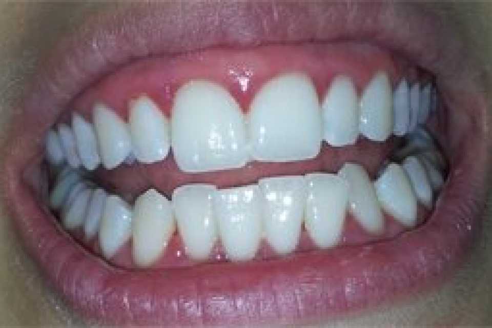
Cazul 22: Albirea profesională a dinților (gutieră + pastă)
Cazuri • 2014/09
Imaginile sunt prezentate în ordinea evoluției tratamentului, de la situația inițială la rezultatul final.
Albirea dinților reprezintă astăzi cel mai cerut tratament din cabinetul stomatologic privind estetica dentară. În ciuda zvonurilor care circulă printre pacienți, procedeele de albire a dinților nu sunt nocive pentru smalțul dentar și nu afectează în niciun fel sănătatea dinților.
Programare consultație
Dorești sfaturi, informații suplimentare și detalii despre albirea profesională a dinților (gutieră + pastă)? Solicită o consultație gratuită.



